试题详情
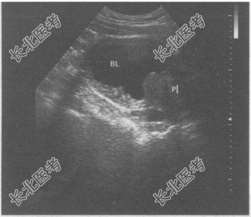
- 单项选择题临床资料:男, 60岁,自述排尿分叉、不畅, 患慢性前列腺增生十余年。
超声综合描述:横切4: 00~8:00处可见扁平形中等回声区, 表面粗糙,内回声不均, 最大厚度1.1cm,后方无声影, 体位变动形态无改变。
超声提示: A、膀胱实性占位
B、膀胱沉积物
C、腺性膀胱炎(轻度弥漫增厚型)
D、膀胱结石
E、膀胱肿瘤
关注下方微信公众号,搜题查看答案

热门试题
- 正常成人的右心房压力正常值范围是A、6~
- 有关腺性膀胱炎的描述,错误的是A、是慢性
- 卵巢良性囊性畸胎瘤来源于以下哪种组织A、
- 临床资料:男性患者, 55岁,胃癌术后5
- 肋缘下斜切面显示门静脉左支时,可显示肝尾
- 胆囊结石的非典型表现,应除外A、WES征
- 患者,女, 27岁,结婚4年, 不孕,临
- 对于胸骨旁主动脉根部短轴水平切面在舒张期
- 临床资料:女性患者, 30岁,自述停经4
- 关于沿声束轴向测量的被探测物与探头间的距
- 肾皮质包含:A、肾小盏B、肾大盏C、肾锥
- 患者女性,24岁, 呼吸困难,乏力, 上
- M型超声心动图的主动脉根部波群不可以检查
- 颈内、外动脉分叉处的正确部位是A、胸锁乳
- 肺动脉口狭窄,不包括下列的A、肺动脉瓣膜
- 患者,男, 11岁,心脏超声检查示右心室
- 胰腺的主要病变包括: ①胰腺炎 ②胰
- 下列存在腹腔的膜是:A、腹膜B、腹膜后腔
- 软骨组织的特点,除外A、软骨细胞可分裂增
- 心脏壁的结构,应除外A、纤维膜B、心瓣膜