试题详情
- 单项选择题临床资料:女, 52岁,自述无痛性肉眼血尿3天。
化验检查: 尿常规红细胞满视野。
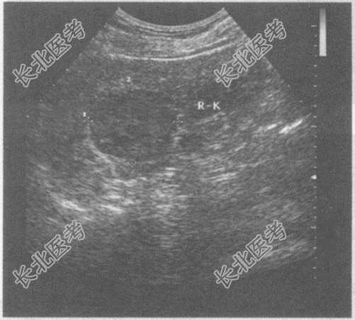
超声综合描述:右肾上极可见4.3cm×3.7cm低回声区, 边界清晰,形态规则, 向包膜外突起,CDFI: 低回声区周边可见丰富动静脉血流信号。见下图及彩图。
超声提示: A、右肾错构瘤
B、右肾囊肿
C、右肾癌
D、右肾肥大肾柱
E、右肾脓肿
关注下方微信公众号,搜题查看答案

热门试题
- 对于胰腺,叙述准确的是A、胰头最大,被十
- 精原细胞瘤的超声表现最可能是A、睾丸增大
- 乳腺癌超声特征性改变的有哪几种:A、浸润
- 临床资料:女性, 32岁,常规体检。
- 患者有明显胸痛史,其诊断考虑是 (
- 风心病二尖瓣狭窄的超声心动图特征性表现是
- 临床资料:男,25岁,常规体检。 超声
- 在心血管多谱勒检查中,反射超声波的主要因
- 关于椎间盘的描述,不正确的是A、外周为纤
- 在进行多普勒检查时哪项无须特别关注A、血
- 以下哪些疾病可以出现胆囊壁增厚: ①低
- 以下哪一项是慢性胰腺炎典型声像表现A、胰
- 胆囊窝处探及弧形强回声带,后伴干净的宽声
- 以下不属于右房室口组成的是A、右房室口周
- 关于人体组织的声衰减,叙述不正确的是A、
- 超声波属于哪一种波A、光波B、粒子波C、
- 以下哪项为目前公认的胰腺测量方法:A、以
- 羊水过少,超声诊断标准是羊水最大深度小于
- 先天性心脏病动脉导管未闭者,估测其肺动脉
- 患儿,男, 4岁,心脏超声检查示胸骨上窝