试题详情
- 单项选择题临床资料:女, 27岁,常规体检。
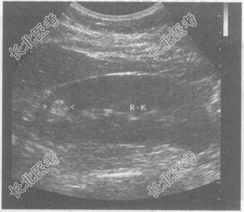
超声综合描述: 右肾形态、大小正常,上极实质部可见1.2cm×1.2cm圆形增强回声区, 边界清晰,形态规则, 内回声欠均。
超声提示: A、右肾错构瘤
B、右肾癌
C、右肾脓肿
D、右肾肥大肾柱
E、右肾上腺囊肿
关注下方微信公众号,搜题查看答案

热门试题
- 患者,男, 45岁,临床诊断颈动脉海绵窦
- 1、为了解血管痉挛的程度,首选的简便快捷
- 检查肺动脉瓣狭窄时,关于CDFI滤波(f
- 关于胃壁结构的描述正确的是A、外膜为浆膜
- 对颈部及脑血管描述错误的是A、颈内动脉分
- 肢体静脉血栓分几种:A、急性、慢性两种B
- 影响心排血量的因素包含了A、心肌收缩力B
- 胰腺颈部位于以下何结构的汇合处:A、胆囊
- 有关超声伪像,以下无误的是A、声影不引起
- 能量多普勒的优点是A、帧频更高B、可显示
- 甲状腺炎应分几种类型:A、①临床下型;②
- 男性,68岁, 慢支20余年,心脏超声检
- 关于羊水测量的描述,错误的是A、测量羊水
- 右心室双出口的概念下列何者有误A、可不出
- 对于三维超声图像的处理是A、将采集的图像
- 各颅脑检查窗相应观察内容以下不正确的是A
- 请回答下图箭头所指部位的解剖名称: <
- 主动脉骑跨见于以下哪种疾病A、法洛三联症
- 慢性输卵管积水表现为A、包块内部均为实性
- 以下不符合肾盂、肾盏内小结石的超声表现的