试题详情
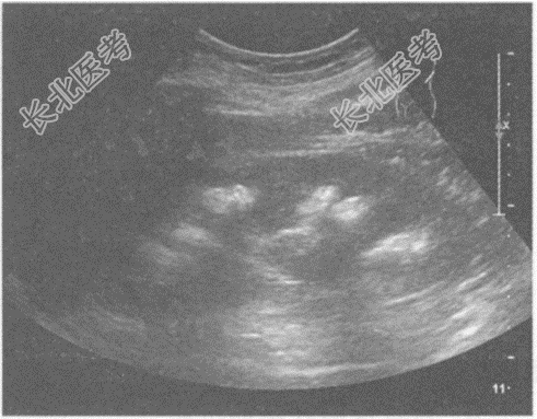
- 单项选择题临床资料:女, 25岁,因反复四肢麻痹10年, 腰部疼痛、肉眼血尿3月余入院。
化验检查:尿常规红细胞3+。
超声综合描述: 双肾形态、大小正常,沿肾锥体分布可见多个强回声光团, 后伴声影。
超声提示: A、双肾钙乳症
B、双肾海绵肾
C、双肾多发结石
D、双肾多发钙化
E、双肾错构瘤
关注下方微信公众号,搜题查看答案

热门试题
- 该病例最可能的诊断为 ( )
 - 假性动脉瘤声像图特征包括: ①腹主动脉
 - 扩张型心肌病M型超声心动图检查时,二尖瓣
 - 肾盂肿瘤声像图表现为: ①肾盂内边
 - 下列关于胃肠平滑肌瘤的描述,哪项是错误的
 - 下列哪项是超声诊断肝硬化失代偿期的主要依
 - 骨板是由A、平行排列的胶原纤维构成B、交
 - 胆囊不显像的常见原因不包括A、胆囊先天缺
 - 关于共同动脉干与肺动脉闭锁合并室间隔缺损
 - 增强超声造影效果,采用间歇式成像, 那么
 - 正常二尖瓣口面积为多少 ( )A
 - 患者,女, 30岁,体检时发现左侧甲状腺
 - 下列哪项是二尖瓣关闭不全最常见的病因
 - 关于完全性肺静脉畸形引流,以下说法不正确
 - 女,59岁, 常规体检。超声综合描述:肝
 - 患者女性,29岁, 孕31周,胎儿左肾上
 - 乳腺囊性增生的典型声像图表现为A、双乳腺
 - 关于Roger氏病,以下哪项错误(
 - 下列哪些是胎儿双侧肾积水声像图表现:
 - 对于成年人与老年人单发主动脉瓣狭窄的常见