试题详情
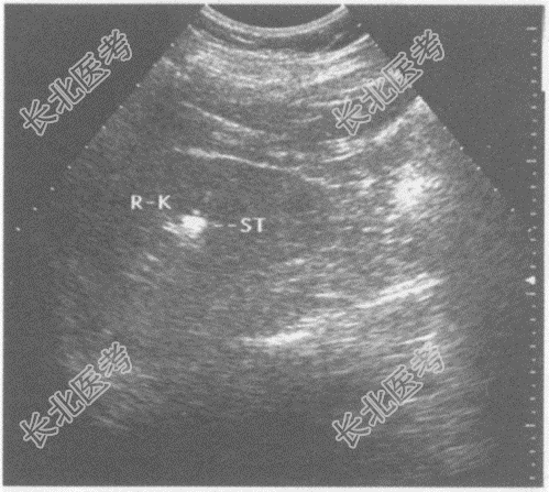
- 单项选择题临床资料:女, 33岁,自述右侧腰部不适。
临床物理检查: 右肾区叩痛。
超声综合描述:右肾下极集合系统内可见强回声光团, 后伴弱声影。
超声提示: A、右肾错构瘤
B、右肾尿酸盐结晶沉积
C、右肾结石
D、右肾钙乳症
E、右肾多发囊肿
关注下方微信公众号,搜题查看答案

热门试题
- 超声显示肝脏局灶性脂肪缺失最常见的解剖位
- 有关肋膈隐窝的描述正确的是A、呼气时缩小
- 图中所示肿瘤最有可能是哪个部位的占位
- 以下关于髋关节的描述,错误的是A、关节囊
- 下列对冠脉血流储备用超声造影测定的叙述,
- 腹腔内游离液体最常见的原因是:A、腹水B
- 眼部超声检查发现:一侧眼球壁内较强回声异
- 对嗜铬细胞瘤的超声描述无误的是A、肿瘤多
- 关于主动脉一肺动脉间隔缺损的描述,不正确
- 正常心动周期中,关于左、右心室活动的描述
- 以下高脉冲重复频率多普勒的特点哪项是有误
- 关于骨折的说法,不正确的是A、骨折愈合分
- 有关鼻旁窦的正确说法是A、包括额窦、上颌
- 女,24岁, 已婚未育,体检时B超检查,
- 成人骨骼正常声像图上可显示什么结构
- 临床资料:女性患者, 42岁,自述月经不
- 以下有关胰腺的超声检查哪项是错误的 A、
- 肝方叶与尾状叶的分界标志则是A、门静脉左
- 患者,女, 27岁,结婚4年, 不孕,临
- 肾发育不全与肾萎缩在声像图上最关键的鉴别