试题详情
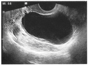
- 单项选择题女,25岁, B超检查如图所示,以下最可能的诊断为

 A、右侧输卵管积液
B、扩张的右侧输尿管
C、右卵巢囊肿
D、右卵巢卵泡
E、右卵巢癌
关注下方微信公众号,搜题查看答案

热门试题
- 肝囊肿合并感染时,和以下哪种疾病不易鉴别
 - 原发性肝癌的特点,应除外A、多数癌肿有包
 - 肝硬化患者超声检查时未发现肝内有肿块,但
 - 急性心肌梗死的合并症应包括以下的A、房间
 - 以下哪一项不是胎儿十二指肠闭锁的超声表现
 - 胸腔积液最常见的原因应为A、外伤B、其他
 - 临床资料:男, 22岁,自述下腹部不适。
 - 患者,男, 32岁,临床诊断附睾炎, 不
 - 女性患者,88岁, 慢性支气管炎30年,
 - 关于骨膜的描述正确的是A、包裹在整个骨的
 - 有关椎骨的描述正确的是A、椎体位于椎弓的
 - 声像图表现为宫颈数个小无回声,后方回声增
 - 患者女,58岁, 由于“左侧乳腺肿物”入
 - 该病例最可能的诊断是(   )
 - 扫查双侧肾上腺,常用的诊断频率是A、1.
 - 临床资料:男性患者, 33岁,自述发热5
 - 以下关于超声诊断仪的工作条件和环境,哪项
 - 风湿性右房室瓣狭窄的超声表现包括A、右心
 - 乳腺癌的超声特征是A、边界不整,呈锯齿状
 - 正常腮腺的解剖、生理和超声表现中,以下哪