试题详情
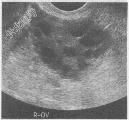
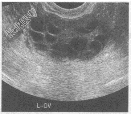
- 单项选择题临床资料:女性患者, 29岁,自述自幼肥胖, 多毛,月经稀少, 结婚5年不孕。
化验检查:雄激素与睾酮升高。
超声综合描述: 经阴道扫查,子宫小, 内膜显示不清;双侧卵巢均匀性增大。包膜光滑增厚回声增强, 每个超声切面可见>10个大小不等无回声区,最大直径0.9cm, 透声清亮。
超声提示: A、卵巢癌
B、多囊卵巢综合征
C、正常卵巢声像图
D、卵巢过度刺激综合征
E、葡萄胎
关注下方微信公众号,搜题查看答案

热门试题
- 下列哪种病不是膀胱的先天畸形 (
 - 对于肝硬化引起脾大的原因是A、含铁结节形
 - 关于子宫的位置,以下描述错误的是A、位于
 - 卵巢子宫内膜异位囊肿临床病理特点以下哪一
 - 超声纵向分辨力是分辨前后两个点最小距离的
 - 临床资料:女, 29岁,哺乳期, 自述右
 - 颈部血管损伤可分为: ①完全断裂②非断裂
 - 以下哪种三维超声成像当前已经不被临床采用
 - 以下哪些疾病,可有“膀胱壁局限性增厚”表
 - 此食管超声心动图显示图像是( )
 - 人体重要淋巴结的分布: ①人体重要淋巴
 - 内脏声像图全面描述以肝为例应包括的是A、
 - 患者,女性, 34岁,剖宫产术后2年,
 - 最不适用于成人颅脑超声检查的探头频率是
 - 胃的正常声像图特点为 ①正常胃充盈后
 - 自然组织谐波成像采用的基础技术是A、发射
 - 以下哪项是二尖瓣关闭不全的超声诊断要点
 - 经颅超声检测的声窗是: ①颞窗 ②枕
 - 阴囊纵向扫查,位于正常睾丸上方的结构是
 - 患者,男, 28岁,皮下扪及肿块六月余。