试题详情
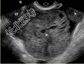
- 单项选择题患者女,55岁, 低热伴下腹胀痛1月余。根据以下声像图表现,以下最可能的诊断是

A、卵巢恶性肿瘤
B、卵巢巧克力囊肿
C、盆腔脓肿
D、卵巢纤维瘤
E、卵巢浆液性囊腺瘤
关注下方微信公众号,搜题查看答案

热门试题
- 超声引导下射频消融依据射频能量的不同应用
- 采用以下哪些测量方法可推测胎儿死亡时间①
- 肢体动脉脉冲多普勒频谱表现包括的是A、正
- PTV英文缩写的中文意思是A、股总静脉B
- 以下哪项是子宫直肠陷窝积液的常见原因
- 在左心长轴切面无法显示的结构是A、主动脉
- 有关主动脉,以下哪项错误( )A、冠
- 有关盆腔肾脏的说法,正确的是 (
- 经眼睑进行眼部二维超声检查,最佳探头频率
- 有一患者超声检查表现为右心室前壁增厚,肺
- 1、临床首选的辅检查为2、根据临床表现及
- 什么是高质量的超声造影剂 ①超声造影剂
- 中度椎动脉狭窄时,狭窄处频谱多普勒超声表
- 脾脓肿USG表现中不正确的是( )A
- 从血流的多普勒频谱可知道(选择二项)A、
- 在横切面上胆总管位于胰头与下腔静脉的哪一
- 胃溃疡的好发部位A、胃后壁B、胃底部C、
- 对肾脏血管平滑肌脂肪瘤的正确描述是A、内
- 以下最常见的受精部位是A、输卵管漏斗部B
- 淋巴结的结构特点包括有A、皮质位于被膜下