试题详情
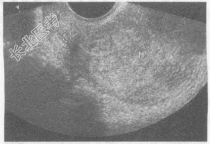
- 单项选择题临床资料:女性患者, 62岁,自述绝经10年, 阴道不规则出血半年。
超声综合描述:经阴道扫查子宫后位, 增大,子宫内膜不均匀性增厚, 与子宫肌层分界不清,侵及肌层深度>50%, 接近浆膜层,CDFI: 内可见丰富动、静脉血流信号,呈低阻型动脉频谱。见下图及彩图。
超声提示: A、子宫内膜腺瘤样增生
B、子宫内膜息肉
C、子宫内膜癌(侵及肌层>50%)
D、子宫肌瘤
E、子宫腺肌症
关注下方微信公众号,搜题查看答案

热门试题
- 胰头位于A、肠系膜上动脉的前方B、肠系膜
- 超声引导下癌组织及其营养血管整体原位灭活
- 胰腺尾部向左侧延伸,下列除哪一项外, 其
- 根据颈部动脉声像图初步诊断为( )
- 以下肾脏疾病哪一项不属于肾先天性异常A、
- 关于卵巢子宫内膜异位囊肿的描述,不正确的
- 对于正常胸腔超声征象,叙述准确的是A、“
- 指出下列有关心包的描述,哪一项是有误的A
- 关于左室游离壁穿壁性心肌梗死最常见的二维
- 超声探头最关键的部分是A、压电材料B、探
- 子宫内膜异位症用性激素治疗的主要作用是A
- 病人在以下何种情况下可减弱下腔静脉的搏动
- 长期肾积水时肾最常见的声像图是 (
- 肝血吸虫病慢性期的声像图表现描述符合的是
- 下列描述哪一项不是于前列腺增生的超声表现
- 以下哪项是超声判断颈动脉轻度狭窄采用的方
- 肝豆状核变性是和哪项元素代谢失常有关A、
- 下列关于肝外胆管结石的说法,错误的是A、
- 请问箭头所指部位(彩图)的解剖名称为:
- 侯某,男, 30岁,反复发作肾结石, 超