试题详情
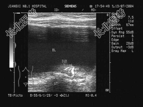
- 单项选择题根据某患者子宫B超检查声像图,下列最可能的诊断为   (   )

 A、子宫肌瘤
B、节育器下移
C、子宫肌层钙化
D、节育器穿孔
E、正常子宫
关注下方微信公众号,搜题查看答案

热门试题
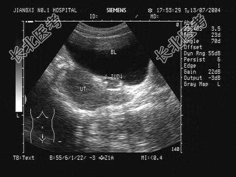
- 患者,女性, 40岁,妇科超声检查如图,
 - 胰腺体部前方与哪个位置相邻:A、大网膜囊
 - 以下哪项是正常甲状腺横切时的超声特征A、
 - 马方综合征引起的主动脉改变,其超声表现不
 - 临床资料:男, 36岁,常规体检。 超
 - 女,25岁, 停经3个月,HCG阳性。根
 - 主动脉夹层动脉瘤DeBakeyⅡ型指的是
 - 在使用脉冲型频谱多普勒测二尖瓣血流速度时
 - 患者,女, 30岁,间断发热2个月余,
 - 导致胆囊底部诊断的假阳性或假阴性的主要原
 - CDFI检测输尿管膀胱开口处结石的特点是
 - 患者,女性, 30岁。产后3个月,乏力、
 - 超声对比造影剂的作用原理为:A、了解血管
 - 一14岁女性患者,胫骨中段高低不平且回声
 - 以下哪一项不属于引起胆囊胆汁回声增强的原
 - 以下哪项是气管黏膜上皮内具有增殖分化能力
 - 关于心肌梗死附壁血栓特点为A、血栓以心尖
 - 以下不属于完全再生的是A、所有的生理性再
 - 利用彩色多普勒血流显像诊断二尖瓣狭窄,下
 - 观察主动脉右冠瓣及无冠瓣结构时,常用检查