试题详情
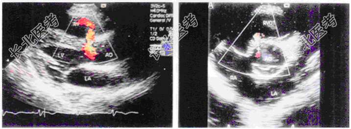
- 单项选择题患儿,1岁, 男,体检发现胸骨左缘全收缩期杂音, 超声检查如图所示。该图所示的室间隔缺损属于以下哪型

 A、干下型
B、肌型
C、隔瓣下型
D、嵴内
E、膜部
关注下方微信公众号,搜题查看答案

热门试题
- 下列不符合肠套叠声像图表现的是:A、套叠
 - 大隐静脉瓣功能不全时,彩色多普勒的所见是
 - 异位妊娠大多发生在 ( )A、宫
 - 关于避免超声入射角对彩色多普勒血流成像影
 - 下列哪项不属于左冠状动脉 ( )
 - 1、不能导致脾肿大的疾病是A、肝硬化B、
 - 关于收缩期左心房压力测定,不正确的是A、
 - 关于肺动脉瓣的描述准确的是A、肺动脉瓣位
 - 女性,22岁, 发热半个月,心脏超声检查
 - 主动脉缩窄,腹主动脉血流频谱表现为A、加
 - 彩色多普勒血流成像的概念,以下正确的为A
 - 肾囊肿常见于45岁以上的成年人:A、错误
 - 长期下尿路梗阻的继发声像图改变不包括的是
 - 胰腺体部前方与哪个位置相邻:A、大网膜囊
 - 有关前列腺内腺区描述正确的是:①良性前列
 - 肝局灶性结节增生(FNH)为良性病变,通
 - 根据肝脏声像图表现,最有可能的诊断是
 - 目前斑块的诊断标准是厚度A、≥3mmB、
 - 关于聚焦超声的特点是A、声束形态在聚焦区
 - 关于腱鞘的描述,正确的是A、腕部不存在腱