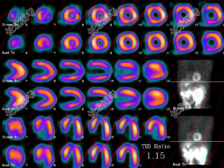
试题详情
- 多项选择题一男性病人的
Tc
-MIBI运动-静息心肌灌注显像如图,可能的诊断是 ( ) 
A、左心室前侧壁缺血
B、左心室后壁缺血
C、左心室无心肌缺血
D、左心室前壁缺血
E、左心室心尖缺血
关注下方微信公众号,搜题查看答案

热门试题
- 女性,62岁, 诉腰背痛1月余,行
- 能用Tc-SC作为显像剂的核素显像为A、
- 下列哪些可作为心肌灌注显像剂 (
- 患者,男, 67岁,乳糜尿1年, 35岁
- 男性,65岁, 急性心前区疼痛2天入院。
- 使用下列显像剂过程中何种显像能观察到脾影
- 以下属于发射β射线核素的是A、AtB、I
- 1、最可能的诊断是2、确诊的首选检查是3
- 进行放射性实验操作时下列哪些做法是正确的
- 有关Hansch方程log (I/C)=
- 有关放射性磷[P]制剂描述正确的是A、主
- 急性骨髓炎放射性核素骨显像的特征是
- 淋巴显像有哪些临床意义 ( )
- 女性,31岁, 主诉全身多处疼痛半年,行
- 1、上述因切尔诺贝利事故致死或致残的人员
- 1、该病例首先考虑的诊断是A、克罗恩病B
- 下列哪些检查有助于诊断肾内占位性病变
- 以下属于放射性核素示踪技术主要特点的是A
- 1、请问这两名乘客所受的辐射属于2、请问
- 1、为明确诊断、排除急症,首先考虑进行的