试题详情
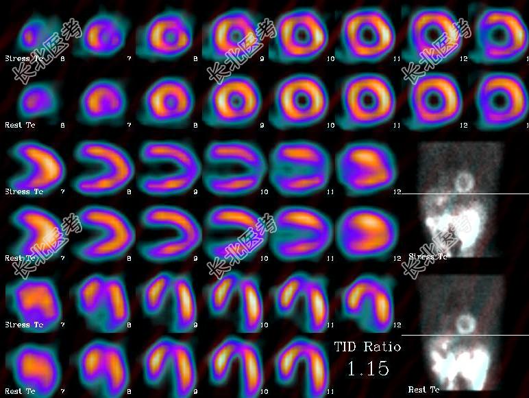
多项选择题一男性病人的99Tcm-MIBI运动-静息心肌灌注显像如图,可能的诊断是( )

A、左心室无心肌缺血

B、左心室前壁缺血

C、左心室心尖缺血

D、左心室前侧壁缺血

E、左心室后壁缺血

  • 关注下方微信公众号,搜题查看答案

热门试题