试题详情
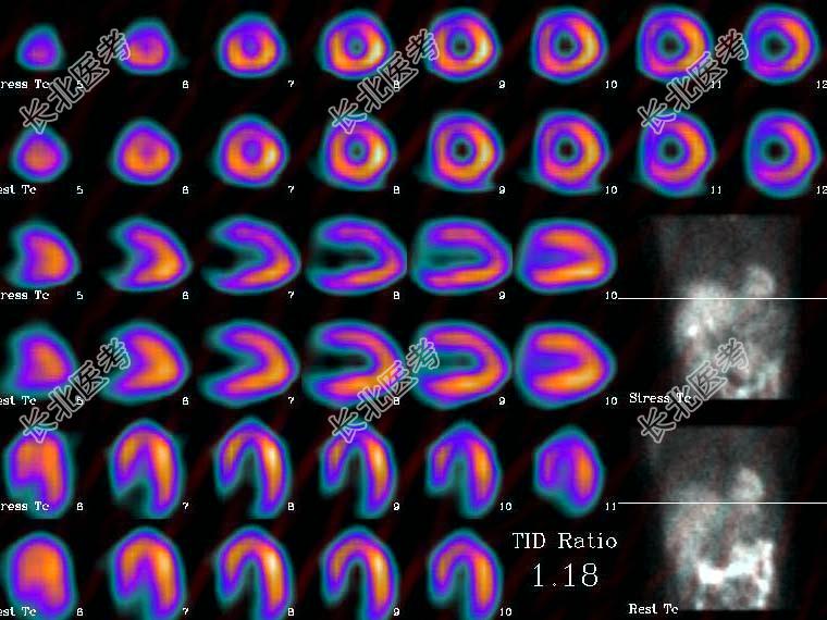
多项选择题女,57岁, 行Tcm-MIBI负荷-静息心肌显像如图,可能的诊断为 ( )

A、心尖缺血

B、左心室后壁缺血

C、左心室前壁缺血

D、左心室前侧壁缺血

E、左心室下壁缺血

  • 关注下方微信公众号,搜题查看答案

热门试题