试题详情
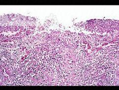
- 多项选择题根据图,有关菌痢的病理改变正确的是 ( )

A、粘膜下层、肌层、浆膜层有明显的炎症反应
B、大约一周左右,假膜开始脱落,形成大小不等,形状不一的“地图状”溃疡如图
C、整个肠粘膜有假膜覆盖,粘膜上皮及腺体大片消失
D、假膜主要为纤维素、坏死的肠粘膜、细菌、嗜中性粒细胞及红细胞等,部分有脱落
E、黏膜充血、水肿、中性粒细胞和巨噬细胞浸润
关注下方微信公众号,搜题查看答案

热门试题
- 大多循行于深部,有一定的循行路径的是(
- 卡比多巴治疗帕金森病的机制为( )A
- 引起"行痹"的主要邪气是( )A、风
- 足厥阴肝经能主治的病证有( )A、腰
- 治疗中风气虚血瘀证的常用方剂是( )
- 脾的主要生理功能有( )A、主运化B
- 望舌以辨别疾病虚实,主要观察( )A
- 有关利多卡因的叙述,哪项是不正确的? (
- 具有加强足三阴、足三阳经脉与心脏联系作用
- 气血两虚证的舌象一般表现为( )A、
- EHF病人透析治疗的指征,不正确的是A、
- 疾病发生的重要条件是( )A、正气B
- 属于"补其不足"治疗方法的是( )A
- 湿热浸淫证湿疮的主要证候不包括下列选项中
- 下列选项中,古人对气的别称有( )A
- 既能祛风解表,又能解痉的药物是( )
- 制定《执业医师法》的目的,应除外A、保护
- 根据行为改变阶段模式,当健康行为改变处于
- 下列选项中,不属外感腰痛致病病邪的是(
- 具有清热利湿、凉血解毒功效的药物是(