试题详情
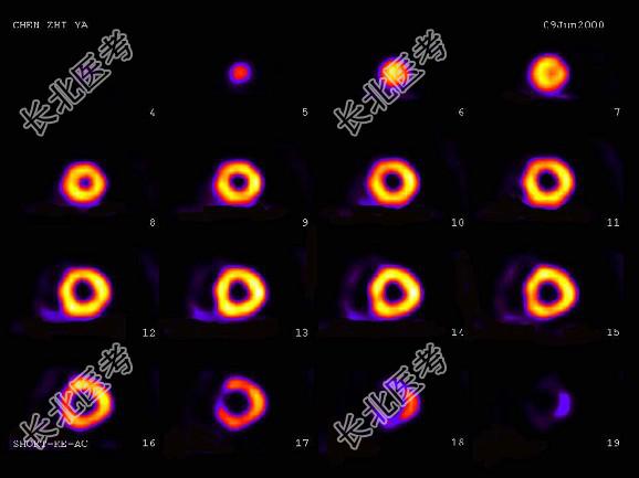
- 单项选择题某患者的运动心肌灌注显像如图,正确的诊断是 ( )

A、左心室前壁缺血
B、左心室无心肌缺血
C、左心室间壁缺血
D、左心室下壁缺血
E、以上都不是
关注下方微信公众号,搜题查看答案

热门试题
- 某患者的99Tcm-DX淋巴显像如图,正
- 关于心血池显像,显示左室激动传导的最佳方
- 室壁瘤门控心血池显像的特点包括 (
- 矫正型大动脉转位的超声诊断要点,以下错误
- 冠状静脉窦扩张患者,在左上肢静脉注射造影
- 某患者呼吸困难,怀疑肺栓塞, 行99Tc
- 判断心脏功能负荷试验结果时,其EF绝对值
- 患者女,23岁, 因颜面部和四肢水肿1年
- LVEF的含义是A、局部射血分数B、射血
- 测定肺上皮细胞通透性的理想药物为 (
- 某患者,室间隔缺损干下型, 左向右分流,
- 以下哪一个不是心脏的生理特性A、传导性B
- 门控心血池显像中,心动电影见弥漫性室壁运
- 平衡法心血池显像应进行多体位显像,包括A
- 以下门控心血池显像测定中,最常用的反映心
- 首次通过法心血池显像的方法学要求不含以下
- 下肢静脉显像最常用的显像剂,是以下哪一种
- 男性患者,43岁, 1月前广泛前壁心梗,
- 131I-MIBG可用于诊断和定位以下哪
- 超声造影对临床在冠心病的介入治疗的作用应