试题详情
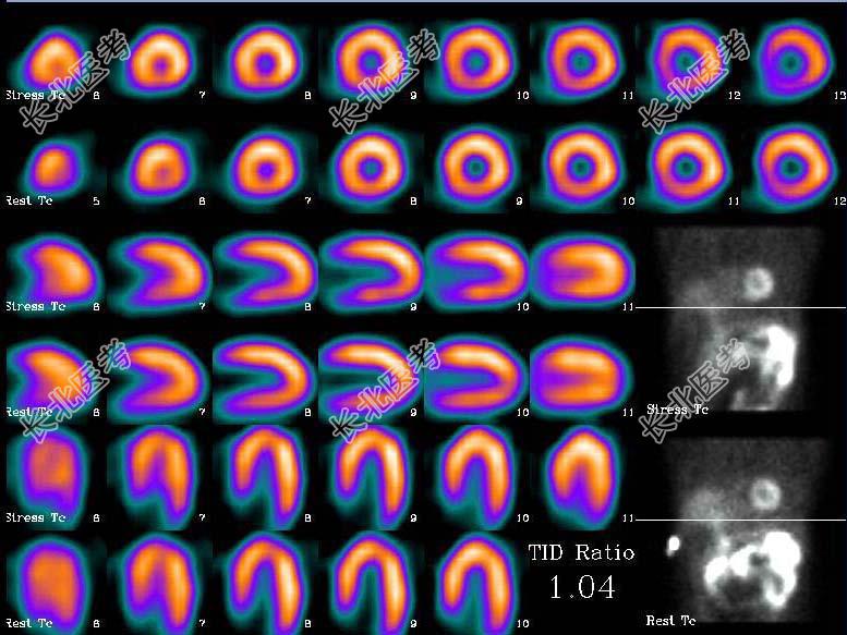
单项选择题一男性患者的99Tcm-MIBI运动-静息心肌灌注显像如图,你的诊断为 ( )

A、左室后间壁梗死

B、左室后侧壁缺血

C、左室后间壁缺血

D、左室前壁缺血

E、大致正常的心肌显像

  • 关注下方微信公众号,搜题查看答案

热门试题