试题详情
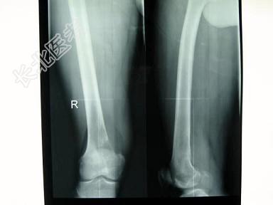
- 单项选择题男性患者,29岁, 右侧下肢疼痛3个月,行X线片及骨显像检查, 正确的诊断是 ( )

A、右侧股骨下端溶骨性骨肉瘤
B、右侧下肢膝关节炎
C、右侧股骨下端骨纤维肉瘤
D、右侧股骨下端成骨性骨肉瘤
E、以上都不是
关注下方微信公众号,搜题查看答案

热门试题
- 男,68岁, 胸背痛3个月入院,行99T
- 肋骨出现点状放射性异常浓聚呈线形排列,首
- 患者某一上肢骨有症状,准备做全身骨显像时
- 骨转移癌患者不适合做89Sr治疗的条件为
- 骨转移主要为成骨和溶骨混合性反应的是A、
- 放射性核素骨显像最主要的缺点是 (
- 某患者99Tcm-MDP骨显像如图,的描
- 男,47岁, 进行性消瘦贫血,全身疼痛1
- 以下不是中轴骨的是A、脊椎骨B、肋骨C、
- 骨显像时,出现超级影像(supersca
- 前列腺癌骨转移在骨显像时大多表现为A、多
- 患者胡某,男, 70岁,因排尿困难1个月
- 骨显像时,放射性缺损区多见于溶骨性病变,
- 注射骨显像剂后,通常鼓励患者饮水A、20
- 女,22岁, 阵发性高血压2年,间歇性头
- 骨显像用于原发性骨肿瘤 ( )A
- 正常骨髓显像中肝脾显影明显的药物为A、抗
- 1、下列哪种疾病的骨髓显像出现上述表现的
- 以下哪项不是全身骨显像适应证A、早期诊断
- 心肌细胞对13N-NH