试题详情
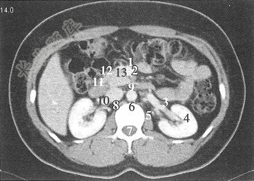
- 单项选择题经过肾门中份的横断层面,图中标注为4的器官是()

A、胃
B、肝
C、脾
D、左肾
E、右肾
关注下方微信公众号,搜题查看答案

热门试题
- 基底节通常包括A、尾状核、壳核、内囊、屏
- 剂量当量的单位Sv与rem的关系是A、1
- 颈部内脏格内有()A、喉、喉咽、甲状腺侧
- X线摄影用线量最强波长的计算公式为A、λ
- 十二指肠起于幽门下接空肠,多呈&ldqu
- 影响X线发生效率最大的是A、管电压B、管
- 关于DSA装置的X线系统的高压发生器,错
- 经肩关节上份横断层CT图像,图注6的结构
- 质量保证英文缩写是A、QAB、CECC、
- 腰椎侧隐窝矢状径小于多少时,可视为狭窄(
- 高速旋转阳极X线管,阳极启动电源的频率是
- 经股骨头后部的冠状断层上,图注11所标注
- 下列关于二尖瓣型心脏的影像特点,错误的是
- 在肝的横断层标本上,第一肝门出现的标记是
- 经前连合的横断面,居断面中央的解剖结构为
- 喉腔中最狭窄的部位是()A、声门上腔B、
- 下面关于隆峭下间隙的描述,错误的是()A
- 下列哪一项不是MRI的优势 (
- 图中标15的解剖结构是()
- 关于颈椎的解剖,错误的是()A、椎弓根短