试题详情
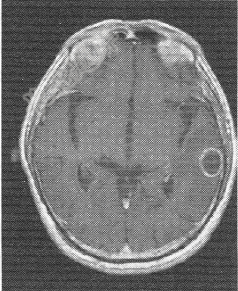
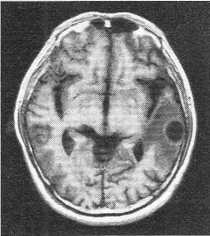
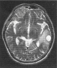
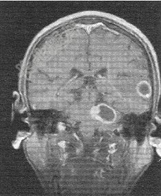
- 单项选择题患者男,72岁。肺癌术后一年余,现出现头晕头痛,MR图像如下,最有可能的诊断是

A、脑转移癌
B、脑膜瘤
C、脑胶质瘤
D、脑炎
E、脑淋巴瘤
关注下方微信公众号,搜题查看答案

热门试题
- 患者,男,72岁,因乏力、消瘦近1年而来
- 恶性黑色素瘤最常发生于下列哪种部位?(
- 大肠癌常用的标志物为A、CA125B、A
- 以下关于原发性骨肿瘤活检术错误的是(
- 1、该患者目前治疗首选: 2、该患者手术
- 1、该患者后续治疗应选择?2、该患者术后
- 不属于保乳手术后放疗的绝对禁忌证的是A、
- 鼻咽癌高分化鳞癌约占总数的( )。A、
- 1、钴-60的半衰期为( )。2、铯-
- 1、该患者的TNM分期是?2、该患者术后
- 患者,女,40岁,上腹隐痛不适,近2个月
- 乳腺癌根治术后锁骨上/腋顶野的放射治疗剂
- 1、该患者要求行手术治疗,术后病理:左乳
- 我国霍奇金病的发病特点,下列哪项不正确(
- 鼻咽癌的病人出现复视,眼球外展活动受限,
- 放疗技术中,斗篷野加锄形野照射是A、全淋
- 宫颈癌患者有阴道出血症状的患者比例是(
- 乳腺恶性钙化的典型表现是A、粗大钙化B、
- 下列哪种骨肿瘤化疗不作为主要治疗手段?(
- 不属于霍奇金病Ⅳ期器官受侵的是(