试题详情
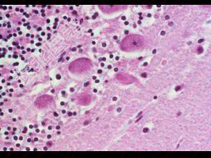
- 单项选择题如图,有关狂犬病的内氏小体,下列哪项不正确 ( )

A、常见于海马旁回和小脑
B、主要位于神经细胞核内
C、是一种嗜酸性包涵体
D、对狂犬病有诊断价值
E、是狂犬病毒的集落
关注下方微信公众号,搜题查看答案

热门试题
- 下列疾病中属于监测管理的传染病是A、鼠疫
- 不完全抗原(半抗原)是指A、既有免疫原性
- 抗菌药物临床应用的原则A、提高疗效,降低
- 何种病原体感染时嗜酸性粒细胞通常增多
- 脊髓灰质炎诊断中具有确诊意义的是 (
- 有关AIDS的病理改变的描述,正确的是
- 儿童期严重感染华支睾吸虫后的严重后果是
- 对铜绿假单胞菌(绿脓杆菌)作用最强的氨基
- 下列哪种不是黏附分子的功能A、细胞活化增
- 常用于外周血T细胞亚群检测的方法是A、流
- 下列哪种是艾滋病人最常见的肿瘤 (
- 姜片虫的中间宿主是 ( )A、水
- 受MHC限制的细胞间相互作用发生在A、巨
- 流行性出血热属于 ( )A、无肾
- 恙虫病简便且特异性尚可的实验室检查是
- 与金黄色葡萄球菌毒力有关的因素是A、形成
- 血栓形成的条件有( )A、心、血管内
- 霍乱的并发症有以下各种,但不包括 (
- 不明原因发热(FUO)的诊断标准包含以下
- 《执业医师法》规定,医师因考核不合格者被