试题详情
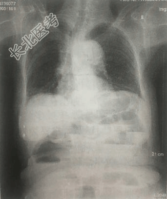
- 单项选择题患者男,22岁。饱餐后活动,突然腹部持续性绞痛,入院后腹部平片如图所示,该患者最有可能出现

A、胃溃疡合并穿孔
B、肠套叠
C、急性阑尾炎
D、急性胰腺炎
E、肠梗阻
关注下方微信公众号,搜题查看答案

热门试题
- 昏迷期肝性脑病患者清醒后可逐步增加蛋白质
- 胃黏膜壁细胞的功能是A、分泌盐酸、内因子
- 1、护士判断患者可能处于肝性脑病的2、护
- 消化道出血临床最常见的病因是A、胃癌B、
- 患者,男性,52岁。有消化性溃疡病史10
- 蜘蛛痣形成的原因是A、毛细血管脆性增加B
- 患者,男性,45岁。因突发性中上腹剧痛1
- 肝昏迷患者经治疗神志恢复后可逐渐给予蛋白
- 有关齿状线的特点,正确的是A、齿状线以上
- 1、体检重点应是2、在没有明确诊断前,应
- 患儿,女,11个月。腹泻,等渗性脱水。第
- 对急腹症患者的治疗,如果诊断不明确,禁用
- 患儿女,7个月。近日发现其口腔黏膜表面覆
- 患者,男性,36岁。暴饮暴食后上腹疼痛,
- 患儿男,生后15天。因口腔黏膜有异常来院
- 1、医嘱予非手术治疗,其措施不包括2、护
- 下面关于急性胰腺炎患者胰酶变化的叙述不正
- 某人于晚宴时暴饮暴食,酒醉后突然胃区剧烈
- 排出黑便的疾病一般为A、痔B、直肠癌C、
- 1、该患儿呼吸深快的引起因素是( )A