试题详情
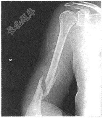
- 简答题患者男性,28岁,摔伤5小时入院。查影像学检查如下:

关注下方微信公众号,搜题查看答案

热门试题
- 男性,26岁,胸痛1小时( )
- 下列心电图检查最可能的是( )
- 男性,32岁( )
- 老年患者,因反复胸闷、气促2年,加重伴痰
- 下列心电图检查最可能的是( )
- 患者男,56岁,反复上腹部疼痛3年余
- 女性,45岁,上腹部不适3月余( )
- 男,45岁。因“乏力2月”来院,查体:贫
- 患者男性,48岁。反复呕血半年就诊。食管
- 患者男性,20岁,摔倒时手掌着地,后感左
- 患者,男,45岁,既往有消化道溃疡病史,
- 男,23岁,摔倒后左肩疼痛,活动障碍1天
- 患者男性,55岁,因“头晕、乏力1周”入
- 患者男,63岁,反复腹痛2月余
- 男,35岁,突发意识障碍5天。图中所示脑
- 请选出正确诊断( )
- 患者男,40岁,高热、咳嗽5天,咳铁锈色
- 男性,45岁,右大腿外伤1小时来诊,查X
- 患者,女,57岁,主诉“发现左乳肿块1周
- 下列心电图检查最可能的是( )