试题详情
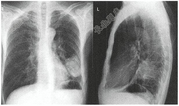
- 单项选择题中年男性患者,因咳嗽、咳痰、痰中带血一周入院,既往体健,有30余年吸烟史,吸烟≥400支/年。入院体查:左侧锁骨上可扪及肿大淋巴结,左下肺呼吸音稍低,无啰音。胸片如下图,请结合临床考虑患者最可能诊断是( )

A、浸润性肺结核
B、大叶性肺炎
C、中央型肺癌
D、周围型肺癌
E、肺真菌病
关注下方微信公众号,搜题查看答案

热门试题
- 患者男性,64岁,突发胸痛4小时,伴出汗
- 患者,50岁,不慎摔跤后1小时。 <
- 患者女,15岁。反复意识丧失伴四肢强直1
- 患儿男性,10个月,间歇性哭闹1天,无畏
- 患者男,20岁,浮肿1月余,气促1周。查
- 下列心电图检查最可能的是( )
- 患者男性,71岁。血尿伴尿频尿急2月。盆
- 患者女性,50岁,平素月经过多,主因头晕
- 男,21岁,右侧膝关节疼痛2个月(
- 请选出正确答案( )
- 患者,男性,65岁,腹痛、腹胀2天,请结
- 请选出正确诊断( )
- 患者男,52岁。头痛伴左侧肢体力弱2小时
- 男性患者,因体检胸片发现右下肺病变入院,
- 患者女性,56岁,心悸3个月,查心电图如
- 患者男性,68岁,间断咳嗽、咳痰20年,
- 男,28岁,低热、盗汗一月余。( )
- 患儿,4岁,外周血图片如下,请问患者诊断
- 中年男性,43岁,因反复呕吐2月入院。呕
- 女性,57岁,胸闷一周( ) <