试题详情
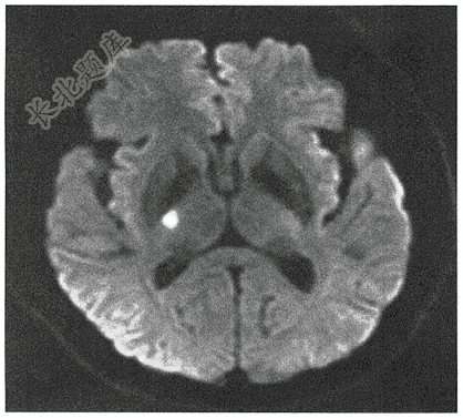
- 单项选择题男,60岁。头晕伴左侧肢体无力2天,头颅MR弥散成像如图( )

A、右侧脑挫伤
B、右侧脑出血
C、蛛网膜下腔出血
D、右侧脑梗死
E、右侧脑膜瘤
关注下方微信公众号,搜题查看答案

热门试题
- 男性,16岁,胸痛12小时( )
- 患者男性,55岁,因“头晕、乏力1周”入
- 请选出正确答案( )
- 患者男性,腹痛并皮肤黄染一周,行核磁共振
- 患者男,72岁,因胸闷心悸来院就诊,根据
- 下列心电图诊断最可能的是( )
- 下列心电图检查最可能的是( )
- 下图是肌电图中何种异常自发电位( )
- 患者男,57岁。高血压20余年,头痛10
- 请选出正确答案( )
- 下列心电图诊断最可能的是( )
- 请选出正确诊断( )
- 患者,女,27岁,既往体健
- 请选出正确诊断( )
- 患者女性,50岁,肝区疼痛、腹胀。
- 女,85岁。右侧肩部不适半月,结合X片检
- 患者女,35岁。阵发性心悸3年,再发1小
- 女性患者,因受凉后高热、咳嗽、咳脓痰5天
- 患者女性,35岁,车祸致头外伤5小时,诉
- 下列心电图检查最可能的是( )