试题详情
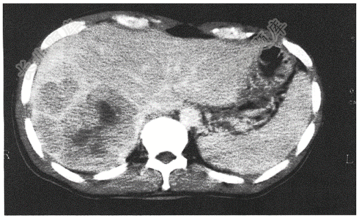
- 简答题患者,男性,65岁,腹胀、乏力2月,请结合患者病情,读取相应影像学检查,并答出X线检查类型、投照体位、征象以及诊断

关注下方微信公众号,搜题查看答案

热门试题
- 女性,65岁。胸闷左侧呼吸音低一周(
- 患者男性,50岁,主因发憋、气短1年,加
- 患者女性,64岁,间断心悸1年,加重1周
- 患者女,52岁,体检超声发现肝脏占位性病
- 患者男性,62岁。剧烈胸痛1.5小时。诊
- 患者,女性,38岁,乏力、纳差两月。请结
- 患者男性,59岁,主因腹痛6小时就诊。查
- 男,35岁,突发意识障碍5天。图中所示脑
- 男性,38岁,发热1月余( )
- 患者女性,28岁,主因消瘦、乏力,心悸、
- 男,19岁,车祸致左大腿疼痛,畸形1小时
- 患者男,48岁。健康体检化验。诊断:
- 男,20岁,因心悸来诊,既往每年发作1次
- 下列心电图检查最可能的是( )
- 如图模拟的检验报告已经提供了足够的信息,
- 女性,47岁,腹部不适( ) <
- 患者女性,65岁。腰背部疼痛活动不适3年
- 患者,47岁,活动后出现呼吸困难一年余。
- 患者男,72岁,因胸闷心悸来院就诊,根据
- 老年女性患者,因“右侧肢体无力5天”为主