试题详情
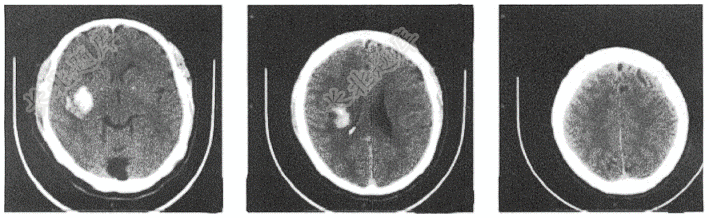
- 简答题患者女,51岁,突发语言障碍伴右侧肢体乏力3小时

关注下方微信公众号,搜题查看答案

热门试题
- 患者男性,75岁,突发心悸3小时。既往有
- 男,44岁,反复呕血、黑便4天,行上消化
- 女,62岁。体检头CT检查如图,最可能的
- 患者男性,40岁,主因发作性心悸2年,再
- 请选出正确诊断( )
- 患者男性,42岁,阵发性腹痛2天,渐进性
- 患者,男,49岁,胸痛1小时
- 患者女,56岁,反复关节疼痛10年,活动
- 下列心电图检查最可能的是( )
- 下列心电图检查最可能的是( )
- 患者,女,25岁,近1月有阵发性心悸,心
- 男性,55岁,头都摔伤3小时,头颅CT平
- 请选出正确诊断( )
- 男,29岁,右臂受打击后疼痛,畸形2小时
- 患者女,62岁,因胸痛急诊就诊,根据其心
- 患者男,67岁,根据其心电图写下简要描述
- 患者男,54岁,因胸闷、心悸就诊,根据其
- 患者,46岁,活动后气促30年余。
- 血气分析呼酸+代酸,如图所示血气分析结果
- 患者女,β-hCG水平达80000U/L