试题详情
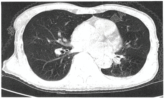
- 单项选择题请选出正确诊断( )

A、左下肺结节
B、左下肺结核
C、左下肺感染
D、左下肺感染伴胸腔积液
E、左下肺癌
关注下方微信公众号,搜题查看答案

热门试题
- 男性,61岁发热、轻度呼吸困难( )
- 患者女性,40岁,突发心悸1小时就诊。查
- 请选出正确答案( )
- 患者,47岁,活动后出现呼吸困难一年余。
- 请选出正确答案( )
- 患者男,46岁,因腹痛10小时急诊就诊。
- 男性,32岁( )
- 男,23岁,摔倒后左肩疼痛,活动障碍1天
- 患者男性,60岁,自诉近期排尿不畅,超声
- 血气分析呼酸+代酸,如图所示血气分析结果
- 男性患儿,1岁。发现心杂音半年来诊,口唇
- 患者男,69岁,言语不能伴右侧肢体乏力一
- 患者男性,46岁,身高178cm,体重9
- 患者男,51岁,因反复关节疼痛10年,关
- 患者男,48岁。健康体检化验。诊断:
- 老年女性,诊断下肢静脉曲张,如下图其中检
- 患者男性,45岁,心悸伴头晕2天,至门诊
- 青年女性患者,因活动后气促一周,伴有低热
- 下列心电图诊断最可能的是( )
- 女性,76岁,原有冠心病史,因胸痛3h住