试题详情
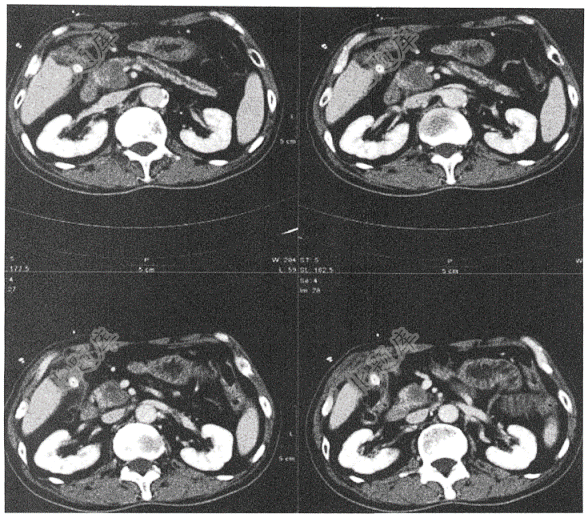
- 单项选择题男性,48岁,腹痛( )

A、腹腔脓肿
B、胰腺癌
C、胆囊炎
D、急性胰腺炎
E、慢性胰腺炎
关注下方微信公众号,搜题查看答案

热门试题
- 患者,男,32岁,体检B超如下图,请进行
- 患者,44岁,腹痛、腹胀伴呕吐,肛门停止
- 男性,65岁,既往有冠心病病史,ECG如
- 男,27岁,活动后突然右侧胸疼( )
- 老年女性,55岁,因发现右乳肿物周入院。
- 患者男性,20岁,摔倒时手掌着地,后感左
- 男性,45岁,拍摄X光片如图所示。最可能
- 患者,男,42岁,发现表面抗原阳性1年。
- 女性,10岁,因“面色苍白5小时”入院,
- 患者男性,59岁,主因腹痛6小时就诊。查
- 患者男性,62岁。剧烈胸痛1.5小时。诊
- 患者男性,45岁。因"反复右上腹部隐痛不
- 请选出正确诊断( )
- 男性,48岁,腹痛3天( ) <
- 下列心电图诊断最可能的是( )
- 男,62岁,咳嗽、咳痰,痰中带血1周(
- 下列心电图诊断最可能的是( )
- 患者男性,69岁。高血压病30年,胸痛7
- 患者女,15岁。反复意识丧失伴四肢强直1
- 患者,55岁反复腹痛2年,再发1周。