试题详情
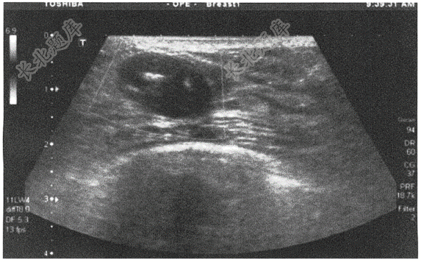
- 简答题青年女性,28岁,因发现右乳肿物1周入院。患者右乳内上象限可见2×3cm肿物,质硬,活动度可,行B超如下图,请进行简单描述和写出主要诊断

关注下方微信公众号,搜题查看答案

热门试题
- 患者男性,75岁,突发心悸3小时。既往有
- 下列心电图诊断最的是可能的是( )
- 该患者的X片诊断是( )
- 患者女,52岁,体检超声发现肝脏占位性病
- 患者,女,7岁,间断头部不适1年余
- 青年女性,28岁,因发现右乳肿物1周入院
- 患者男,76岁。体检发现血常规异常。体格
- 男,32岁。眼部外伤1天入院。术前检查,
- 患者女性,70岁,主因体重下降3个月就诊
- 下列心电图诊断最可能的是( )
- 患者男,51岁,因反复关节疼痛10年,关
- 下列心电图诊断最可能的是( )
- 患者男性,48岁。反复呕血半年就诊。食管
- 女性,64岁,体检发现肝脏占位( )
- 男,40岁,车祸致右髋疼痛、活动障碍1天
- 下列心电图检查最可能的是( )
- 患者,男,45岁,既往有消化道溃疡病史,
- 患者男,47岁。外伤2小时。诊断:
- 老年女性,诊断下肢静脉曲张,如下图其中检
- 请选出正确诊断( )