试题详情
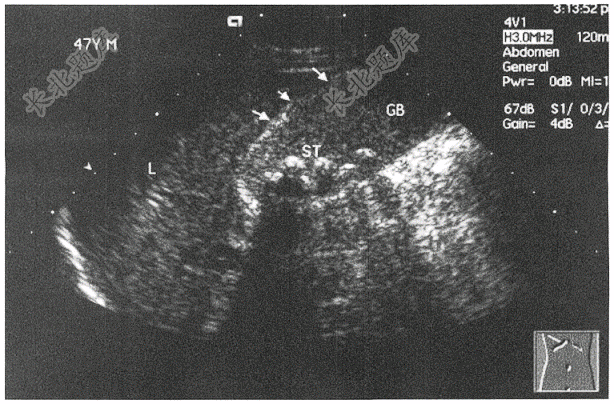
- 简答题患者,女,45岁,因腹痛就诊,行B超如下图,请进行简单描述和写出主要诊断

关注下方微信公众号,搜题查看答案

热门试题
- 请选出正确诊断( )
- 请选出正确诊断( )
- 患者,女性,42岁,因腹泻3月入院。肠镜
- 请选出正确诊断( )
- 请选出正确答案( )
- 患者因胸痛2小时不缓解就诊,查心电图如下
- 下列心电图诊断最的是可能的是( )
- 女性,61岁,发现左腕部肿物1月余,质硬
- 请选出正确诊断
- 患者男,63岁,反复腹痛2月余
- 男性,49岁,发热一周( ) <
- 男,35岁,突发意识障碍5天。图中所示脑
- 老年患者,因反复胸闷、气促2年,加重伴痰
- 患者男,72岁,因胸闷心悸来院就诊,根据
- 男性患儿,1岁。发现心杂音半年来诊,口唇
- 患者老年女性,60岁,因突发腹痛腹胀,肛
- 女性,57岁,上腹部不适1月余( )
- 心电图检查最可能的是( )
- 患者,女,7岁,间断头部不适1年余
- 男,44岁,反复呕血、黑便4天,行上消化