试题详情
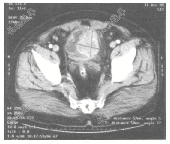
- 单项选择题男性,55岁,无痛性血尿3天,CT检查如下图,诊断结果为( )

A、肾癌
B、前列腺癌
C、膀胱癌
D、精囊腺癌
E、输尿管癌
关注下方微信公众号,搜题查看答案

热门试题
- 男性,45岁,乘客,乘长途汽车因急刹车跌
- 对创伤的治疗过程中,应注意了解事项中哪项
- 男,72岁,右小腿肿痛伴发热39℃1天就
- Charcot三联症反复发作最大的可能是
- 患者,女,33岁。因“便鲜血1h”就诊。
- 等渗性缺水的诊断依据中,下列不正确的是A
- 大面积深度烧伤合并急性肾功能不全患者出现
- 严重创伤时,血钾A、无改变B、明显降低C
- 十二指肠降段腹膜后部分外伤性破裂典型临床
- 口底及下颌的急性蜂窝织炎危及生命的并发症
- 阑尾尖端指向下列哪个部位时可同时出现膀胱
- 以下对胰腺癌的论述,不正确的是A、包括胰
- 下列关于代谢性酸中毒的叙述,哪项是错误的
- 关于痔的临床特点,下列不正确的是A、外痔
- 有关烧伤吸入性损伤的认识下列哪些是正确的
- 关于腹主动脉瘤的检查下列哪项是不正确的A
- 体重60kg男性,血容量大致为( )
- 外科手术后伤口感染常发生在术后A、8~1
- 下列壶腹周围癌与胰头癌的比较,错误的是A
- 女性,18岁。上唇红肿伴剧痛2天。查体: