试题详情
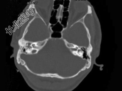
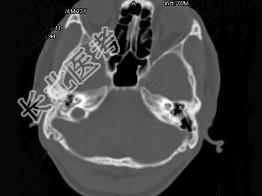
- 单项选择题男,23岁,右耳流脓十余年,右外耳道流脓,鼓膜穿孔,CT检查如图,最可能诊断为 ( )

A、慢性中耳乳突炎
B、中耳乳突结核
C、中耳癌
D、嗜酸性肉芽肿
E、(海绵化期)耳硬化症
关注下方微信公众号,搜题查看答案

热门试题
- 治疗类肿瘤型恶性肉芽肿宜采用A、化学治疗
- 关于急性扁桃体炎,下列说法中哪项是不正确
- 两侧声带麻痹的病人可能主诉是A、发音微弱
- 急性化脓性中耳炎出现以下哪种情况时不应考
- 听神经瘤占桥小脑角肿瘤的百分率是A、40
- 前鼻孔填塞时鼻腔填塞物一般留置A、1~1
- 上颌窦恶性肿瘤的5年生存率为A、5%~1
- 最早期的声门癌的症状是 ( )A
- 某患者,女,32岁,双侧鼻塞,呈持续性,
- 关于鼻腔内翻性乳头状瘤,以下哪项不正确?
- 下列关于耳聋分级的表述,哪项是错误的A、
- 下列哪项影像学检查是早期确诊小听神经瘤敏
- 男,40岁,经常发生鼻后部出血,检查发现
- 患者女性,54岁,主诉眩晕、耳胀满感、咆
- 女,16岁,鼻塞、流涕一年余,失去嗅觉,
- 关于急性化脓性中耳炎检查结果描述有误的是
- 鼻腔弥漫性出血 ( )A、鼻腔烧
- 关于鼻及鼻窦骨瘤的叙述,正确的是 (
- 最常见的鼻咽部良性肿瘤是 ( )
- 行置换疗法时调节吸引器负压不应超过A、1