试题详情
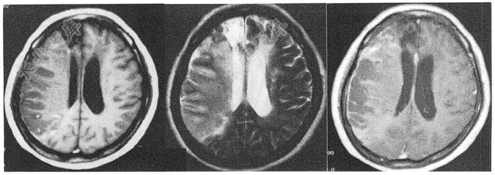
- 单项选择题患者男,46岁,头颅MR如下,请问患者诊断考虑为( )

A、右侧颞叶脑梗死
B、右侧额顶叶脑梗死
C、右侧颞叶脑出血
D、右侧额顶叶脑出血
E、右侧基底节脑梗死
关注下方微信公众号,搜题查看答案

热门试题
- 请选出正确诊断( )
- 患者男,70岁,因反复咳嗽、咳脓痰20余
- 请选出正确诊断( )
- 请选出正确诊断( )
- 男性患者,65岁,因右侧肢体乏力一天,突
- 患者男,35岁。外伤后1小时。诊断
- 患者男,76岁。体检发现血常规异常。体格
- 患者男,56岁,反复上腹部疼痛3年余
- 男,36岁,无诱因双髋逐渐加重的疼痛6月
- 男,68岁。因“上腹痛1年,解黑便伴头晕
- 患者女,35岁。阵发性心悸3年,再发1小
- 患者女性,40岁,突发心悸1小时就诊。查
- 患者男性,腹痛并皮肤黄染一周,行核磁共振
- 患者男性,50岁,主因发憋、气短1年,加
- 请指出下列血气分析中哪一项是Ⅰ型呼吸衰竭
- 患者男,47岁,反复腰痛10年,血尿1天
- 患者,男,61岁,体检B超如下图,请进行
- 请报告箭头所指细胞的名称
- 患者女性,63岁,突发腹痛4小时入院。立
- 女,35岁,时有腰部酸痛,体检超声如图,