试题详情
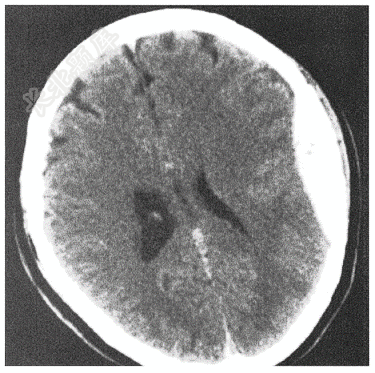
- 单项选择题男性,55岁,头都摔伤3小时,头颅CT平扫结果如下图,诊断为( )

A、右侧硬膜外血肿
B、高血压脑出血
C、左侧硬膜外血肿
D、右侧硬膜下血肿
E、左侧硬膜下血肿
关注下方微信公众号,搜题查看答案

热门试题
- 患者7岁女孩,既往腹部手术史,主因腹痛、
- 男性,70岁,发热( )
- 男,35岁,突发意识障碍5天。图中所示脑
- 下列心电图诊断最的是可能的是( )
- 男,45岁。因“乏力2月”来院,查体:贫
- 患者男,68岁,反复胸闷气促12年,加重
- 女,56岁。主诉:双侧腰痛1年,肉眼血尿
- 女,61岁,摔倒后致腰背部疼痛,活动不能
- 患者男性,50岁,突发胸痛5小时就诊。查
- 患者,女,69岁,因“胡言乱语、记忆力下
- 患者男性,55岁,胸闷、胸痛2小时住院,
- 患者,50岁,不慎摔跤后1小时。 <
- 下列心电图检查最可能的是( )
- 请选出正确诊断( )
- 男,30岁,腹痛12小时,剑突下及中腹部
- 患者男性,80岁,主因腹痛1月,加重1周
- 中年男性,因体检发现左上肺病变入院,否认
- 患者男,70岁,因反复咳嗽、咳脓痰20余
- 请选出正确答案( )
- 血气分析呼酸+代酸,如图所示血气分析结果