试题详情
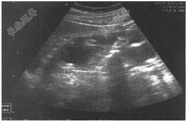
- 简答题患者,男,32岁,体检B超如下图,请进行简单描述和写出主要诊断

关注下方微信公众号,搜题查看答案

热门试题
- 男,68岁。因“上腹痛1年,解黑便伴头晕
- 女,62岁。体检头CT检查如图,最可能的
- 请选出正确诊断( )
- 下列心电图检查最可能的是( )
- 请报告箭头所指细胞的名称
- 女,46岁,间断心悸20余年。
- 患者男性,50岁,突发胸痛5小时就诊。查
- 青年男性,23岁,因发现右阴囊肿物2年入
- 男,60岁。头晕伴左侧肢体无力2天,头颅
- 男性患者,因运动后突发剧烈胸痛半小时入急
- 请选出正确诊断( )
- 男,21岁,右侧膝关节疼痛2个月(
- 下图是肌电图中何种异常自发电位( )
- 下图心电图考虑为( )
- 患者男,75岁,反复排全程无痛性肉眼血尿
- 患者男性,72岁。进展期胃癌,颈部体检发
- 女,85岁。右侧肩部不适半月,结合X片检
- 患者男性,66岁,主因胸闷伴呼吸困难1周
- 患者,男,50岁,突发心慌1小时 <
- 下列心电图检查最可能的是( )