试题详情
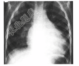
- [材料题] 患儿,女。出生后4个月开始出现发绀,气促。查体:听诊胸骨左侧缘2~3肋间隙闻及收缩期杂音,肺动脉瓣第二心音消失。X线胸片如下图所示。

- 多项选择题1.最可能的诊断是( )
A、主动脉导管未闭
B、房间隔缺损
C、法洛四联症
D、室间隔缺损
E、正常胸片
F、肺动脉狭窄
关注下方微信公众号,搜题查看答案

- 多项选择题2.该病包括哪几种畸形( )
A、右心室漏斗部狭窄
B、膜部室间隔缺损
C、主动脉骑跨
D、房间隔缺损
E、右心室肥厚
F、左心室肥厚
关注下方微信公众号,搜题查看答案

- 多项选择题3.从胚胎发育角度看,哪种畸形为该病的主要畸形( )
A、右心室漏斗部狭窄
B、膜部室间隔缺损
C、主动脉骑跨
D、房间隔缺损
E、右心室肥厚
F、左心室肥厚
关注下方微信公众号,搜题查看答案

- 多项选择题4.本病首选的影像学检查方法为( )
A、X线胸片
B、CT
C、X线心血管造影
D、MRI
E、彩色多普勒超声
F、ECT
关注下方微信公众号,搜题查看答案

热门试题
- 1、根据患者病史及临床表现可能诊断(
- 吕女士,高中文化,无业,未婚。有时候发生
- 某女性患者,44岁时患糖尿病,37岁时患
- 大部分Down综合征都属于( )A、
- 下列关于胰岛素治疗糖尿病的叙述,错误的是
- 以下不属于遗传性周围神经病特点的是(
- 关于鱼鳞病,下列说法错误的是( )A
- 1、诊断考虑为( )2、该患者病变分
- 下列有关苯丙酮尿症的描述,不符合的是(
- 1、初步的诊断应该包括( )2、患者
- 患者为9个月女童,对声、光及触觉敏感,有
- 某男性患者,死胎。检查发现长骨短宽,四肢
- 1、为明确诊断,下一次最需要做的检查是(
- 针对21-三体综合征,孕中期筛查项目为(
- 戈谢病的细胞诊断依据是( )A、Do
- 具有精神发育迟缓、白内障、肝硬化症候群的
- 14/21罗氏易位的女性携带者与正常人婚
- 关于Lambert-Eaton综合征说法
- 黏多糖病是( )A、溶酶体病B、线粒
- 在线粒体病的描述中不正确的是( )A