试题详情
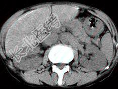
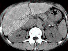
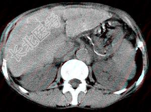
- 单项选择题男,40岁有血吸虫感染史,腹胀不适,食欲减退,CT扫描所见如图,最可能的诊断是 ( )

A、肝炎后肝硬化
B、血吸虫后肝硬化
C、酒精性肝硬化
D、胆汁性肝硬化
E、脂肪肝
关注下方微信公众号,搜题查看答案

热门试题
- 目前国内最常见的细菌性痢疾(菌痢)的病原
- 下列哪些是实证腹满的特点( )A、
- 暑秽临床可见:( )A、头痛而胀B、身
- 《温病条辨》中用青蒿鳖甲汤治疗的病症主要
- 下列有关风温的治疗原则,哪一项不妥A、初
- 关于传染病感染过程的各种表现,下列哪种说
- 炙甘草汤的配伍特点有( )A、方中重
- 据《素问·太阴阳明论》所论,“治中央”的
- 下述哪项不是HIV感染的高危人群 (
- 1、其病机属于2、其治法是3、治疗应首选
- 症见恶寒少汗,身热不扬,午后热象较显,头
- 医疗机构工作人员上岗工作,必须佩戴A、载
- 栝楼瞿麦丸的配伍特点是( )A、温
- 暍病中白虎加人参汤的组成是( )A
- 太阳中暍,津气两伤,治用A、白虎加苍术汤
- 对眼猪囊尾蚴病患者首选的治疗是A、阿苯达
- 下列方剂除哪方外,都有桂枝、甘草这一对配
- 治疗恙虫病的特效药物为 ( )A
- 暑湿弥漫三焦临床可见( )A、胸闷咳
- 暑湿的诊断要点是( )A、发于夏令酷