试题详情
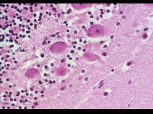
- 单项选择题如图,有关狂犬病的内氏小体,下列哪项不正确 ( )

A、常见于海马旁回和小脑
B、主要位于神经细胞核内
C、是一种嗜酸性包涵体
D、对狂犬病有诊断价值
E、是狂犬病毒的集落
关注下方微信公众号,搜题查看答案

热门试题
- "阳明病,谵语,发潮热",大便不通,小承
- 大头瘟之毒盛肺胃证可见( )A、壮热
- 某医院内科病房,责任护士误将甲床患者的青
- 下列方剂除哪方外,都有桂枝、甘草这一对配
- 下列不属弯曲菌肠炎临床表现的是 (
- 白喉特征性的损害是 ( )A、假
- "桂枝本为解肌,若其人( )者,不可
- 登革热的并发症有哪些 ( )A、
- 医疗机构的执业登记A、医疗机构的执业登记
- 以下哪种神志障碍,见于阳明蓄血证A、如狂
- 结胸证最基本的脉证特点是A、按之痛,寸脉
- 据《素问·四气调神大论》所述,若违逆秋季
- 关于图中所示生物的病原学,下列哪项不正确
- 关于医师的职业规则,以下说法错误的是A、
- 夏季患者骤然咯血,咳嗽气粗,头目不清,灼
- 《素问·灵兰秘典论》言膻中的主要功能有A
- 黄疸病,鉴别湿邪为患与非湿邪为患的要点是
- 《素问·调经论》"阳虚则外寒"指的是A、
- 霍乱典型病例的临床表现是 ( )
- 下列方剂中,用炮附子的有( )A、