试题详情
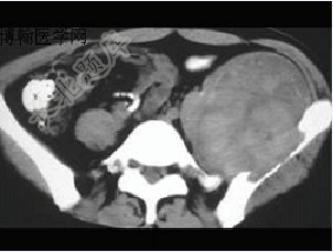
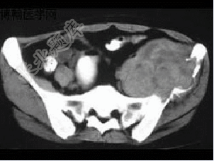
- 单项选择题患者,男性,33岁,近2年来感左髂部疼痛,活动后加重,3周前由于剧烈运动后左下肢活动不能,查体左髋压痛明显皮肤稍显红肿,请结合所提供的图像,选择最佳选项( )

A、骨囊肿
B、软骨瘤
C、骨巨细胞瘤
D、软骨肉瘤
E、动脉瘤样骨囊肿
关注下方微信公众号,搜题查看答案

热门试题
- 木工,男性,38岁,工作中右手食指被电锯
- 前交叉韧带重建常用的组织有( )A、
- “肘三角”关系紊乱和肘关节后脱位相鉴别的
- 髌骨粉碎性骨折的特点A、关节囊撕脱严重B
- 男,22岁,滑冰时摔倒右手撑地时受伤,请
- 男,34岁,3天前突发腰痛,半天后出现右
- 女,55岁,第3趾肿胀,结合图像,最可能
- 脊柱附件骨折包括( )。A、关节突骨折
- 骨折愈合分哪几个阶段( )A、骨折坚
- 男,19岁,双手肿痛2年,早晨起床前活动
- 男,38岁,右肘关节外伤,请结合所提供图
- 掌指关节脱位复位后固定的时间是( )。
- 长途跋涉所致的骨折最常发生在( )。A
- 股骨头骨软骨病的病理过程为A、血肿机化演
- 下述哪项检查最能确诊膝陈旧性前交叉韧带完
- 应用关节清理术治疗类风湿性关节炎的手术治
- 与原发性增生性关节炎的发生有关的是A、关
- 肱骨中段骨折,最容易损伤的神经是A、腋神
- 正常摸到足背动脉搏动的位置在A、拇长伸肌
- 跟腱反射是检查A、腰2神经根B、骶1神经