试题详情
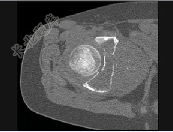
- 单项选择题男,15岁,右髋部疼痛、红肿,有压痛,皮温增高,结合图像,最可能的诊断是( )

A、Ewing肉瘤
B、急性骨髓炎
C、转移性神经母细胞瘤
D、骨肉瘤
E、骨结核
关注下方微信公众号,搜题查看答案

热门试题
- 治疗化脓性关节炎,哪项措施是错误的(
- 男,68岁,因跌伤左胫腓骨中下段横形骨折
- 肱骨髁上骨折伸直型骨折的最严重并发症是A
- 如图所示,与髋关节无关的韧带是( )
- 几岁以下的儿童因肱骨内上髁骨骺尚未出现,
- 对Kaplan点的描述,正确的是(
- 平足症患者的体征有A、前足外展,跟骨、舟
- 不属于创伤性休克的原因有( )。A、外
- 1、手法复位时,下列哪项操作是错误的2、
- 搬运脊柱损伤病人,最重要的是( )。A
- 棘上韧带损伤多见于( )A、颈胸段B
- 下列哪种骨折最不容易愈合A、桡骨远端骨折
- 男性,30岁,建筑工人,2小时前从5m高
- 男,35岁,曾有结核病史,现有午后发热,
- 男性,18岁,左大腿中段间断疼痛,肿胀伴
- 男,22岁,左侧膝部肿胀,疼痛2个月余,
- 患者,男性,58岁,发现颈前肿物2年,声
- 对超过16小时的开放性胫骨骨折的处理中,
- 对污染较重的伤口,清创后暂不予缝合,观察
- 以下哪几项组成组织修复过程中的肉芽组织(