试题详情
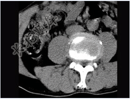
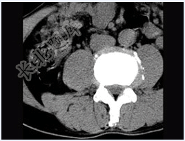
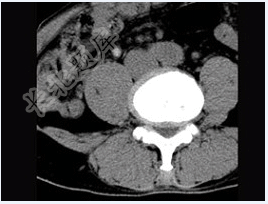
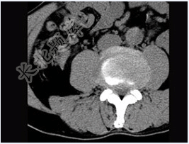
- 单项选择题男,45岁,腰痛,请结合所提供图像,选择最佳答案( )

A、前纵韧带钙化
B、椎间盘膨出
C、椎间盘突出
D、腰椎骨质增生
E、椎间盘未见异常
关注下方微信公众号,搜题查看答案

热门试题
- 男性儿童,左肘摔伤急诊就医。小夹板外固定
- 男性,30岁,腰痛10个月。经检查诊断为
- 女,17岁,腰痛2个月,近日发现左股内侧
- 临床上发病率最高的颈椎病是哪个类型(
- 下列哪种骨折最不容易愈合A、桡骨远端骨折
- 下述关于肱骨骨折的说法,哪几项是正确的(
- 男,34岁,左髂骨疼痛,有皮肤色素沉着,
- 髋关节结核常发生于( )。A、婴幼儿B
- 有关中央脊髓损伤综合征,以下说法不正确的
- 患者男,38岁,感觉左髋部疼痛,并逐渐加
- 患者,女孩,12岁,半小时前从自行车后座
- 适用于手外科、整形外科、骨科的手术显微镜
- 对放疗不敏感的肿瘤是A、黑色素瘤B、精原
- 化脓性关节炎局部牵引治疗的目的A、利于抗
- 如图所示,股三角内最外侧的结构是(
- 患者胫骨骨折内固定术后经检查为骨折临床愈
- 髌骨粉碎性骨折的特点A、关节囊撕脱严重B
- 对半月板损伤,诊断的重要依据是A、过伸试
- 指骨X线所示骨干中心密度减低,骨皮质膨大
- 新鲜脱位是指关节脱位A、未满1月B、未满