试题详情
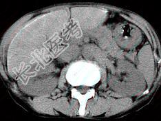
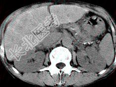
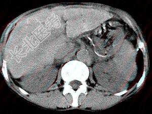
- 单项选择题男,40岁有血吸虫感染史,腹胀不适,食欲减退,CT扫描所见如图,最可能的诊断是 ( )

A、肝炎后肝硬化
B、血吸虫后肝硬化
C、酒精性肝硬化
D、胆汁性肝硬化
E、脂肪肝
关注下方微信公众号,搜题查看答案

热门试题
- 关于百日咳的发病机制与病理解剖的描述,不
- 恙虫病的主要传染源是 ( )A、
- 湿温,症见灼热烦躁,便下鲜血,舌质红绛,
- 痉病的主脉是A、浮紧脉B、紧而弦脉C、沉
- 虚寒肺痿的症状是( )A、咳唾涎沫
- 《素问·阴阳应象大论》所述阴阳之性是A、
- 《灵枢·天年》认为:“人之始生,何气筑为
- 水逆证的主要症状是A、脉浮或浮数、微热消
- 《素问·太阴阳明论》认为,脾主四肢的生理
- 男,55岁。35年吸烟史,支气管镜活检可
- 吴茱萸汤可用于( )A、少阴病,吐利
- 《温热论》所说的“土燥水竭”是指:(
- 流行性出血热引起急性肾功能不全的最主要原
- 根据《素问·至真要大论》论述,下列不属于
- 根据《疫苗流通和预防接种管理条例》,疫苗
- 下列哪种疾病的确诊是无法通过普通显微镜检
- 《素问·六节藏象论》认为,心的阴阳属性为
- 关于奥美拉唑,哪项错误A、是目前抑制胃酸
- 伤寒不大便六七日,头痛有热,小便清者宜用
- 关于APC处理递呈抗原,下列哪项错误A、