试题详情
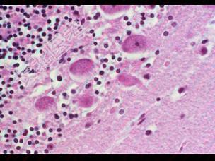
- 单项选择题如图,有关狂犬病的内氏小体,下列哪项不正确 ( )

A、常见于海马旁回和小脑
B、主要位于神经细胞核内
C、是一种嗜酸性包涵体
D、对狂犬病有诊断价值
E、是狂犬病毒的集落
关注下方微信公众号,搜题查看答案

热门试题
- 仲景认为产妇喜汗出是因为( )A、
- 男,42岁,低热3个月,头痛、淡漠和嗜睡
- 应用乙型肝炎高效价免疫血清的主要对象是
- 张仲景生活的年代是A、西晋B、东汉C、南
- 《执业医师法》规定,在医疗、预防、保健机
- 下列各项,哪些与痹证有关( )A、
- 坏病的辨证论治原则可概括为A、先表后里B
- 伏暑热结阴伤一证可见小便短少,其治疗禁用
- 湿热发黄与寒湿发黄的鉴别点是( )A
- 下列属于下呼吸道的是( )。A、气管
- 治疗饮热迫肺证的主方是A、越婢加术汤B、
- 关于伤寒沙门菌的抗原性,下列哪项是错误的
- 有关AIDS的病理改变的描述,正确的是
- 关于图中所示的脊髓灰质炎病毒,正确的是
- 治疗低排高阻型休克常用的扩血管药物有
- 湿温,症见灼热烦躁,便下鲜血,舌质红绛,
- 医疗机构的负责人、药品采购人员、医师等有
- 流脑主要传播途径是 ( )A、空
- 《水胀》认为出现腹大身尽肿、皮厚、按之凹
- 伤寒脉浮而缓,手足自温者,系在太阴,若小