试题详情
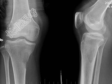
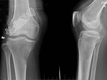
- 单项选择题男,59岁, 右小腿近端疼痛1年,活动障碍半年, 有前列腺癌病史,请结合所提供图像, 选择最佳答案 ( )


A、骨肉瘤
B、纤维肉瘤
C、右胫骨骨转移
D、右胫骨结核
E、软骨肉瘤
关注下方微信公众号,搜题查看答案

热门试题
- 以下有关头颈部肿瘤治疗及预后的说法,正确
- 对直肠癌术前放疗目的的不正确叙述是 (
- 1、进行下列哪种诊断措施最佳2、诊断后应
- 50岁男性患者患无功能分化好的胰岛细胞瘤
- 1、该患者当时应该采用的治疗策略是(
- 1、首选治疗方法为2、其临床分期为
- 关于肿瘤免疫逃逸的描述不正确的是A、接受
- 1、为进一步鉴别肠道生理性摄取与肠道恶性
- 关于受试者工作特征(ROC)曲线,叙述不
- 关于乳腺小叶瘤变,叙述不正确的是A、免疫
- 近代肿瘤外科治疗开始于 ( )A
- 患者,女性, 28岁,高热伴右颈包块1月
- 早期睾丸精原细胞瘤治疗原则为 (
- 肾细胞癌中预后较好的组织类型应为A、肾髓
- 1、该患者肝占位首先应考虑的诊断是(
- 放射免疫显像的禁忌证是A、早期癌肿B、术
- 关于胃癌转移的叙述中,以下各项中错误的是
- 以下关于细胞周期蛋白描述正确的是(
- 1、在肺部结节的鉴别诊断中,需排除的假阳
- 鼻咽癌上颈淋巴结转移,下颈、锁骨上是否作