试题详情
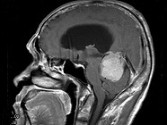
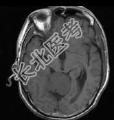
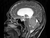
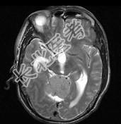
单项选择题男,61岁, 头晕头痛伴行走不稳1月余,请根据所提供图像, 选择最可能的诊断是 ( )

A、淋巴瘤

B、转移瘤

C、胶质瘤

D、髓母细胞瘤

E、(天幕切迹缘)脑膜瘤

  • 关注下方微信公众号,搜题查看答案

热门试题