试题详情
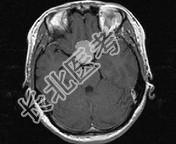
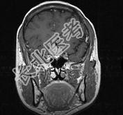
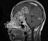
单项选择题女,32岁, 右眼视物模糊1年,加重2月, 请根据所提供图像,选择最可能的诊断是 ( )

A、鞍区转移瘤

B、鞍区海绵状血管瘤

C、鞍区动脉瘤

D、鞍区垂体瘤

E、鞍区脑膜瘤

  • 关注下方微信公众号,搜题查看答案

热门试题