试题详情
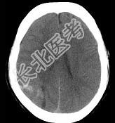
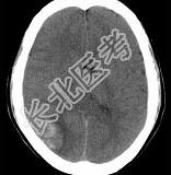
- 单项选择题男,37岁, 头痛、头晕1年余,加重3天, CT检查如图所示,最可能的诊断是 ( )



A、脑血管畸形并出血
B、转移瘤并出血
C、颅内动脉瘤
D、脑出血
E、脑膜瘤并出血
关注下方微信公众号,搜题查看答案

热门试题
- 脑原发非霍奇金淋巴瘤治疗失败的主要是因为
- 有关伦理委员会,叙述是不正确的是(
- 1、该患者临床诊断为( ) (内
- 以下肝脏疾病中,可摄取Ga的病灶是A、转
- 以下关于乳腺癌术后上肢水肿的康复训练说法
- 现阶段认为膀胱癌术后腔内灌注药物预防复发
- 男,41岁, 左枕部疼痛,右侧肢体乏力,
- 有关F-FDGPET/CT淋巴瘤显像的适
- 男性患者,59岁, 间断肉眼血尿1个月余
- 肿瘤外科手术后远处转移的主要原因应是(
- 高级别上皮内肿瘤是A、交界性肿瘤B、交界
- 恶性胸膜间皮瘤标准的根治术不包括的范围为
- 男,63岁, 咽喉部不适约1年,近2个月
- 膀胱癌根治性放射治疗的设计,哪一条错误
- 有关E–Cadherin描述不正确的是(
- 上颌窦癌的治疗原则近年来一般采用A、化疗
- 以下不是T细胞杀伤肿瘤的效应机制的是(
- 胰腺癌最好发的部位为A、全胰腺B、异位胰
- 软组织肉瘤最常见的转移部位为A、肝B、骨
- 1、正确的术后治疗是2、最佳用药是