试题详情
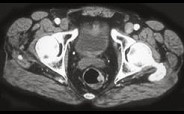
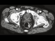
- 单项选择题男性患者,41岁, 血便,肛诊触及左侧直肠壁一质硬小结节, 结合CT所见应考虑为 ( )


A、直肠间质瘤
B、直肠腺瘤
C、直肠癌
D、直肠息肉
E、直肠转移瘤
关注下方微信公众号,搜题查看答案

热门试题
- 对肿瘤的不正确描述是A、肉瘤多发生于青年
- 口腔癌最常见的病理类型应为A、鳞状细胞癌
- 关于检验效能,叙述不正确的是A、一般情况
- 女,55岁, 右上腹痛,消瘦乏力3个月,
- 以下哪种治疗方法属传统的巴黎法腔内放射治
- 1、对该病人进一步的检查是 (
- 1、若左肺下叶有独立的瘤结节,左侧纵隔有
- 关于索拉非尼的叙述,以下不正确的是(
- 男性,48岁, 右季肋区疼痛半年。CT检
- 肾母细胞瘤的主要临床特点为 (
- 一乳腺癌患者,原发灶2×2cm位于外象限
- 患者男性,67岁。因“体检发现左肺占位性
- 1、首先考虑的诊断是( )2、为进一
- Tc-MIBI亲肿瘤显像尚未应用的肿瘤是
- 利用外源基因表达代谢酶,催化药物前体转化
- 1、为明确诊断首选检查是( )A、全消
- 患者男,64岁。肝癌术后一年余, 现出现
- 对于肾癌的治疗不正确的是 ( )
- 1、对于非肌层浸润性膀胱癌,下列叙述不正
- 利妥昔单抗联合化疗治疗B细胞淋巴瘤的有效