试题详情
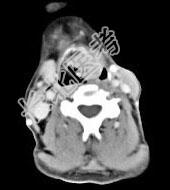
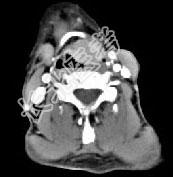
- 单项选择题男,53岁, 咽部不适半年余,近两个月感咽部疼痛, 声嘶,CT如图所示, 应诊断是 ( )




A、喉部纤维瘤
B、乳头状瘤
C、喉肉芽肿
D、喉癌
E、梨状窝癌
关注下方微信公众号,搜题查看答案

热门试题
- 舌癌的好发部位为A、舌尖B、舌根C、舌背
- 加速器特性检测允许精度错误的是 (
- 关于卵巢肿瘤合并妊娠,以下何项正确 (
- 1、HD最常见的自发症状为2、为明确该患
- 关于阴茎癌,以下哪项是错误的 (
- 1、对该病人进一步的检查是 (
- 患者女性,55岁, 绝经7年,乳腺癌术后
- 1、首先考虑的诊断是A、肠梗阻B、肺炎伴
- 氧化应激引起细胞凋亡的可能机制应除外(
- 关于肺癌外科治疗的陈述无误的是 (
- 1、对右下腹包块性质鉴别特异性最好的核医
- 结肠癌最重要的诊断方法为A、直肠指诊B、
- 颅底深部的脑膜瘤可选择多种治疗方法,但不
- 1、建议给患者进行化疗的方案为2、200
- 保乳手术的绝对禁忌证不包括A、乳腺钼靶X
- 关于肿瘤间质的描述,以下哪些是正确的?
- 肿瘤病人病程中需做放射治疗者大约占 (
- 下列哪些符合生物治疗特点 ( )
- 下列关于CIK细胞的临床应用不正确的是(
- 1、首先进行的处理有2、下一步处理为(提